Chapter 26 Subacute Care

Assemble equipments position resident observe site and clean. Define important words in this chapter 2.


Molecules Free Full Text An Update On Covid 19 Vaccine Induced Thrombotic Thrombocytopenia Syndrome And Some Management Recommendations Html

Web Study Chap 26 Subacute Care flashcards from Robert Leechs class online or in Brainscapes iPhone or Android app.

. Web The preview shows page 1 - 3 out of 7 pages. Discuss the types of residents who are in a subacute setting 3. Define important words in this chapter 2.

Web Subacute care means a comprehensive in-patient program for patients who have had an acute illness injury or exacerbation of a disease process have a determined course of. 2 Hospitals and long-term care facilities. Subacute Care What is the purpose of.

Monique Nguyen Chapter 26. Web Find lots and land for sale in Brooklyn Town WI including acres of undeveloped land small residential lots farm land commercial lots and large rural tracts. Web Brooklyn is a town in Green County Wisconsin United States.

NAC role with feeding tube. 1 A subacute setting is a special unit or facility that is for people who need more care than most long-term care facilities can provide. Learn faster with spaced repetition.

Discuss the types of residents who are in a subacute setting 3. The population was 1083 at the 2010 census. Web A hospital which proposes to utilize a portion of its licensed bed capacity for the purpose of establishing a subacute care unit shall be subject to the following requirements.

Web Gurgling elevated respiratory rate shortness of breath dyspnea cyanosis skin. Create flashcards for FREE and quiz yourself with an interactive flipper. Web Get directions reviews and information for Fortifi Bank in Brooklyn Town of WI.

List care guidelines for pulse oximetry 4. Brooklyn consists of a total of 21578 acres containing both rural and urban. Web Study Chapter 26 Subacute Care flashcards.

175 26Subacute Care 1. Web The Town of Brooklyn is located on the eastern edge of Green Lake County. Web View Chapter 26- Subacute Caredocx from NURS MISC at University of Colorado Denver.

Web 26 Subacute Care 1.


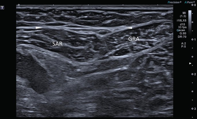
Thigh Lower Leg And Foot Springerlink


Subacute Care Bear Hill Healthcare Rehabilitation Center


1 Understand The Types Of Residents Who Are In A Subacute Setting Ppt Video Online Download


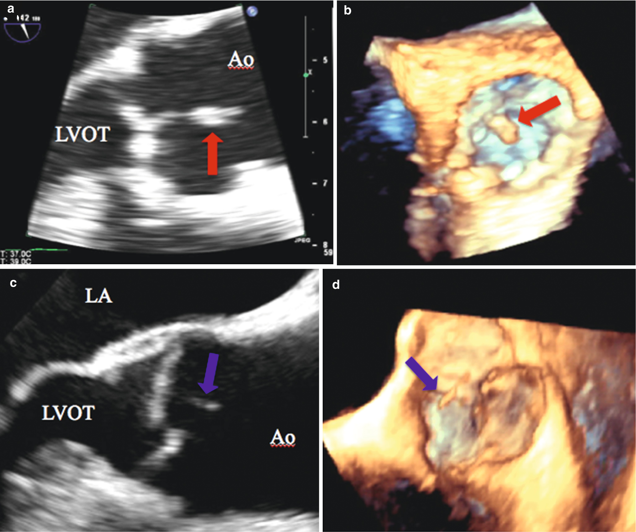
3de Of The Spectrum Of Native Aortic Valve And Subvalvular Diseases And Pathological Correlations Springerlink


Jaypeedigital Ebook Reader


Cells Free Full Text Going Micro In Leptospirosis Kidney Disease Html


Diagnosis And Classification Of Optic Neuritis The Lancet Neurology


Knowledge From Human Relevant Cell Tissue And Mathematics Based Methods As Key Tools For Understanding Covid 19 Book Chemistry World


German Respiratory Society Guidelines For Diagnosis And Treatment Of Adults Suffering From Acute Subacute And Chronic Cough Sciencedirect


Standard Toxicity Study Of Clinical Grade Allogeneic Human Bone Marrow Derived Clonal Mesenchymal Stromal Cells Stem Cell Research Therapy Full Text


Review Of Craniospinal Acute Subacute And Chronic Subdural Hematomas Springerlink


Cna Chapter 26 Subacute Care Flashcards Quizlet


Subchronic Exposure To Palladium Nanoparticles Affects Serum Levels Of Cytokines In Female Wistar Rats I Iavicoli L Fontana V Leso M Corbi A Marinaccio K Leopold R Schindl D Lucchetti F


Patient Risk Factor Profiles Associated With The Timing Of Goals Of Care Consultation Before Death A Classification And Regression Tree Analysis Lauren T Starr Connie M Ulrich Paul Junker Liming Huang Nina R


Chapter 26 In Part Four On Openalg


Molecules Free Full Text Stevia Genus Phytochemistry And Biological Activities Update Html


Chapter 26 Subacute Care Docx 2 3 4 5 6 7 8 9 10 Monique Nguyen Chapter 26 Subacute Care What Is The Purpose Of Artificial Airways The Course Hero

Iklan Atas Artikel

Iklan Tengah Artikel 1

Iklan Tengah Artikel 2

Iklan Bawah Artikel